Városlista
2026. április 18, szombat - Andrea

Hírek

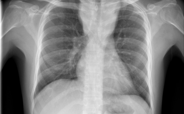
Terjed a tbc Szatymazon?
2016. Május 02. 13:56, hétfő | Belföld

Terjed a tbc Szatymazon?

Hétfő reggel óta tbc-tesztet végeznek el a gyerekeken egy szatymazi általános iskolában, ahol egy hete fertőző tüdőbetegségben halt meg egy korábban ott dolgozó nő - közölték az M1 aktuális csatorna déli Híradójában.

Csökkent a tbc-fertőzések száma Európában
2016. Március 24. 07:39, csütörtök | Külföld

Csökkent a tbc-fertőzések száma Európában

Átlagosan 4,3 százalékkal csökkent az új tuberkulózisos (tbc-s) esetek száma 2010 és 2014 között az Egészségügyi Világszervezet (WHO) 53 országot magába foglaló európai régiójában.

2011. November 13. 07:15, vasárnap | Belföld

Van miért aggódnunk

A tuberkulózis, a kanyaró, a HIV és a rezisztens baktériumok terjedése aggodalomra adhat okot Európában – állapították meg a régió járványügyi szervezetének (ECDC) éves jelentésében.

2011. Október 06. 07:41, csütörtök | Belföld

40 millió dohányos halhat meg tbc-ben 2050-ig

A kutatók szerint akár a 40 milliót is elérheti azoknak a dohányosoknak a száma, akik 2050-ig tuberkulózisban (tbc) veszítik életüket.