Hírek
2017. Június 01. 10:08, csütörtök |
Életmód
Forrás: mti
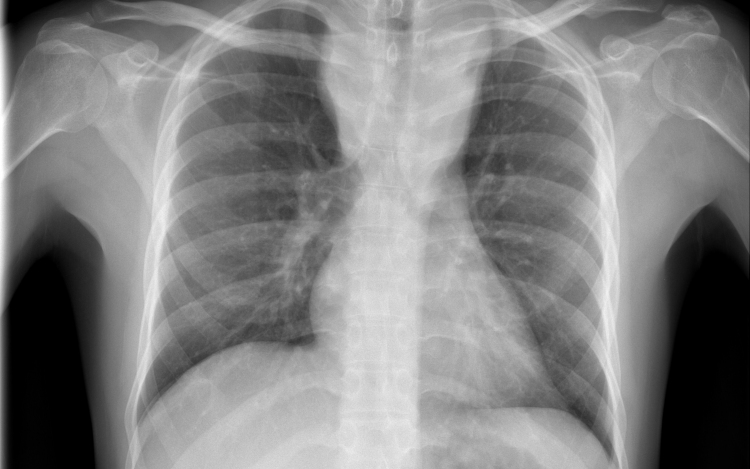
Magyarországon halnak meg a legtöbben tüdőrákban az EU-ban
Az Európai Unióban Magyarországon a legmagasabb, az összes halálok között 27 százaléknyi a tüdőrák okozta halálozások aránya - hangzott el az M1 aktuális csatorna csütörtöki műsorában.
Demjén Tibor, a Dohányzás Fókuszpont vezetője hangsúlyozta: ugyan folyamatosan csökken a dohányzók aránya, de így is a felnőtt népesség 27,5 százaléka dohányzik Magyarországon.
Ez az arány a fiatalok körében 25 százalékos, ám közülük csupán 5 százaléknyian gyújtanak rá naponta - fűzte hozzá.
Kiemelte, kevésbé ismert, hogy a dohányzás nemcsak egészségkárosodást és halált okoz, hanem jelentős környezetszennyezést is. Példaként említette, hogy a világ erdeinek 4 százalékát pusztították el a dohánytermelés érdekében és világszerte 4,3 millió hektáron zajlik dohánytermelés, jelentős műtrágya-felhasználás mellett.
A dohányipar 2 milliárd tonna szilárd hulladékot termel évente és csak Magyarországon 220 vagont töltenének meg évről évre a visszamaradt csikkek - jegyezte meg.
Az Egészségügyi Világszervezet azt javasolja, hogy egy dollárral növeljék a dohánytermékek adóját. Ez egyrészt növelné a visszatartó hatást, másrészt 190 milliárd dollár pluszbevételt eredményezne. Ezt a pénzt pedig megelőző programokra, illetve a leszokás támogatására lehetne költeni - tette hozzá a szakember.
Demjén Tibor azt mondta, a megelőzést már óvodás korban el lehet kezdeni, a gyerekek véleménye mesékkel, foglalkozásokkal alakítható.
Ezek érdekelhetnek még
2025. December 08. 07:44, hétfő | Életmód
Krasznahorkai László lázadásról, emberi méltóságról, angyalokról, reményről beszélt Stockholmban
A lázadásról, az emberi méltóságról, az angyalokról és a reményről beszélt Krasznahorkai László vasárnap Stockholmban.
2025. December 07. 10:06, vasárnap | Életmód
Agroinform.hu: a fenyőfát vásárlók háromnegyede idén is hazai termelők termékeit díszítheti fel
December első hetében tömegesen is elkezdődött a fenyőfák árusítása az alkalmi árusok utcai és piaci standjain, a vásárlók háromnegyede idén is hazai termelők termékeit díszítheti fel otthonában
2025. December 06. 08:47, szombat | Életmód
Átadták az idei Prima Primissima Díjakat
Idén is tíz kategóriában vehették át a Prima és Prima Primissima Díjakat a magyar szellemi élet, a művészet, a tudomány és a sport jeles képviselői a Müpában megtartott pénteki gálaesten.
2025. December 05. 07:36, péntek | Életmód
A mecseki Zengőn álló építmény lett az Év kilátója 2025-ben
A magyar turisták szavazatai alapján dőlt el, hogy a Mecsek-hegység legmagasabb hegyén álló, az arról elnevezett építmény lett az Év kilátója pályázat győztese

